Zubní kámen u zubaře: jak ho odstranit a proč to nemáte dělat doma

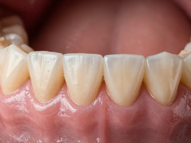
Co je vlastně zubní kámen, tvrdý nános na zubech, který vzniká z plaku, pokud ho neodstraníte včas. Also known as kalkulus, it forms when minerals in saliva harden plaque on teeth, especially near the gumline. This isn't just ugly—it's a breeding ground for bacteria that lead to bleeding gums, bad breath, and eventually tooth loss. Mnoho lidí si myslí, že zubní kámen je jen záležitost vzhledu. Ale není. Je to aktivní hrozba pro vaše zuby a dásně. A když ho necháte, začne poškozovat i kost, která vaše zuby drží.

Odstraňovat ho doma s nástroji z internetu? To je jako opravovat si automobil v garáži bez nářadí. Můžete to zkusit, ale pravděpodobně si jen poškodíte skloviny nebo dásně. Profesionální čištění u zubaře, používá ultrazvukové zařízení a speciální nástroje, které odstraní kámen bez poškození zubů. Toto čištění je rychlé, téměř bezbolestné a dělá ho odborník, který ví, kde se kámen skrývá—i tam, kam se kartyček nebo ústní voda nedostanou. A nezapomeňte: kámen se vytváří i pod dásněmi, kde ho vůbec nevidíte. Tam ho zjistíte jen při prohlídce u zubního hygienika.

Parodontóza, zánět dásní a podpěrných tkání kolem zubů. je přímým důsledkem neodstraněného zubního kamene. A když se rozvine, může vést k vypadávání zubů. To není sci-fi. Je to běžný případ u lidí, kteří čekali, až kámen „sám zmizí“. Ale nezmizí. Jen se zvětšuje. A s ním roste i riziko. Pravidelné čištění u zubaře každých 6–12 měsíců je nejúčinnější prevence. Nejde o luxus. Je to stejně důležité jako výměna oleje v autě.

Co dělat doma? Čistit zuby dvakrát denně, používat mezizubní kartáček a nit. To všechno pomáhá, ale zubní kámen se už neodstraní jen čištěním. Potřebujete odborníka. Když už máte kámen, není čas na domácí triky. Čím dřív ho odstraníte, tím méně škody udělá. A nezapomeňte: i když máte zirkonovou korunku nebo fazety, kámen se na nich může tvořit stejně jako na přirozených zubech.

V naší klinice víme, že každý pacient je jiný. Někdo má kámen rychle, jiný pomaleji. Někdo ho má jen na spodních řezáčích, jiný všude. Proto neexistuje univerzální odpověď na otázku „kolik času to trvá?“. Ale jedno je jisté: když ho necháte, stojí to víc než jen peníze. Stojí to zuby. A to se už nevrátí.

V níže uvedených článcích najdete praktické rady, jak předcházet vzniku kamene, co dělat, když už ho máte, a jak se správně starat o zuby po čištění. Všechno to, co potřebujete, abyste měli zdravý úsměv—bez překvapení, bez bolesti, bez zbytečných návštěv.

Jak se zbavit zubního kamene jednou navždy: pravda a praktické kroky

Jak se zbavit zubního kamene jednou navždy: pravda a praktické kroky

Zubní kámen se neodstraní doma. Pouze u zubaře pomocí ultrazvuku. Zde zjistíte, jak se zbavit kamene jednou navždy a jak ho předcházet, abyste ho už nikdy neměli.

Dozvědět se více
Odstraňte zubní kámen a získejte zpět svůj zdravý úsměv

Odstraňte zubní kámen a získejte zpět svůj zdravý úsměv

Zubní kámen není jen estetický problém - ničí dásně a může vést k ztrátě zubů. Zjistěte, jak se odstraňuje, proč domácí metody nefungují a jak předcházet jeho návratu.

Dozvědět se více